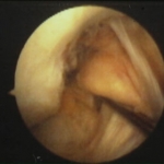
LCA roto puesto en evidencia al palparlo. Rodilla drcha. Vision artroscopica.

LCA roto puesto en evidencia al palparlo.Rodilla drcha. Vision artroscopica.